🦷 Oral Pathology

Case #IUC-UDM-MM: The White Patch Dilemma

Dr. Khin Soe BDS,MDSc,DrDSc

Mystery Case Study

The "White Patch" Dilemma | 55-Year-Old Male

👤 Patient Profile & History

Patient: 55-year-old male, Construction Supervisor.

Chief Complaint: "Rough feeling" on the left side of the tongue for 3 months. No pain.

Social History: Smoker (1 pack/day for 30 years), Social Alcohol drinker.

Medical History: Controlled Hypertension (Amlodipine).

👄 Clinical Examination

Clinical Appearance
Intra-oral View
  • Location: Left lateral border of tongue.
  • Appearance: Solitary, well-demarcated white plaque ($2.0 \times 1.5$ cm).
  • Texture: Slightly fissured and granular surface. Indurated on palpation.
  • Test: CANNOT be wiped off.

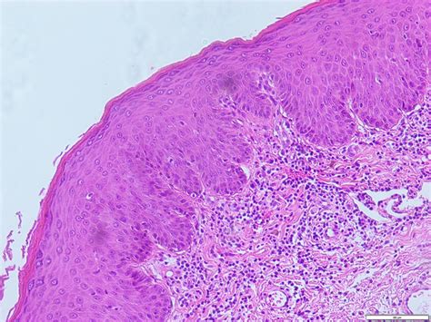
🔬 Histopathology Results

Histology Slide
H&E Stain (10x)

Biopsy reveals significant hyperkeratosis and acanthosis.

Cellular Changes: Loss of polarity and nuclear hyperchromatism confined to the lower third of the epithelium.

Critical Finding: Basement membrane is intact.

🤔 Student Assessment

Q1: What is your top Differential Diagnosis?

Answer: Oral Leukoplakia (Provisional).
Differentials: Oral Lichen Planus (less likely as unilateral), Hyperplastic Candidiasis (less likely as non-wipeable), Frictional Keratosis.

Q2: Based on the "lower third" involvement, what is the histological grade?

Answer: Mild Epithelial Dysplasia.
The intact basement membrane confirms it is NOT invasive Squamous Cell Carcinoma yet.
Grade 12 / Dental University Mode