Oral Lichen Planus (OLP)

Dr. Khin Soe BDS,MDSc,DrDSc

Case Study: Clinicopathological Correlation & Management

1. Patient Profile & Chief Complaint

Patient: 54-year-old female.

Chief Complaint: "Burning sensation in my cheeks when eating spicy food for the past 6 months."

History: The patient reports intermittent periods of exacerbation and remission. No history of skin lesions. Medical history includes managed hypertension.

2. Clinical Features
Clinical presentation of OLP showing Wickham's Striae
Figure 1: Intraoral view showing reticular pattern on buccal mucosa.

Examination Findings

  • Location: Bilateral posterior buccal mucosa.
  • Appearance: Interlacing white lines (Wickham's Striae) forming a reticular pattern.
  • Erosive Component: Mild erythema noted adjacent to the striae, correlating with the burning sensation.
  • Diagnosis: Reticular Oral Lichen Planus (with minor erosive component).
3. Histological Diagnosis
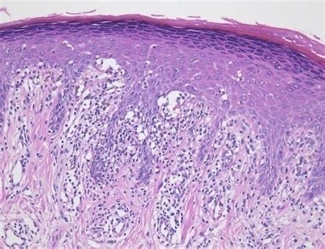
Histopathology showing band-like lymphocytic infiltrate
Figure 2: H&E stained section (40x).

Microscopic Features

Biopsy from the buccal mucosa reveals characteristic features:

  • Hyperkeratosis: Thickening of the stratum corneum (ortho- or para-keratosis).
  • Saw-tooth Rete Ridges: Irregular acanthosis with pointed rete ridges.
  • Liquefaction Degeneration: Destruction of the basal cell layer.
  • Civatte Bodies: Apoptotic keratinocytes seen at the interface.
  • Inflammatory Infiltrate: Dense, band-like T-lymphocyte infiltrate immediately subjacent to the epithelium.
4. Updated Management Protocols

First-Line Therapy

High-potency topical corticosteroids are the mainstay of treatment for symptomatic OLP.

  • Clobetasol propionate (0.05%) gel or ointment.
  • Dexamethasone elixir (0.5mg/5mL) as a mouth rinse.

Second-Line Therapy

For cases refractory to steroids or where steroids are contraindicated:

  • Calcineurin Inhibitors: Tacrolimus (0.1%) or Pimecrolimus cream. Note: Transient burning sensation may occur upon application.

General Measures & Monitoring

  • Avoidance of precipitants (spicy/acidic foods, sharp tooth cusps).
  • Maintain excellent oral hygiene.
  • Malignant Transformation: OLP is a potentially malignant disorder (approx. 1% risk). Regular follow-up every 6–12 months is mandatory.